Planmeca ProMax® 3D Plus
Zobacz więcej niż jedynie uzębienie


Wielkości obrazu
Obraz maksymalny bez łączenia
Ø20 x 10 cm
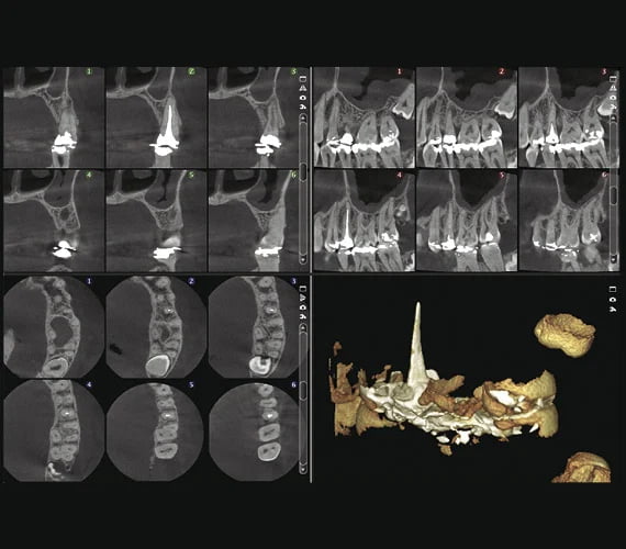
Jakość obrazów klinicznych





Kreatywność w sterowaniu ruchem
Ruch pacjenta jest często problemem dla jakości obrazu 3D. Algorytm CALM® firmy Planmeca eliminuje artefakty ruchu, aby uzyskać wyraźniejszy obraz końcowy

Zwiększona wizualizacja TMJ
Planmeca ProMax 3D Plus obsługuje woksele od 600 do 75 µm, a oprogramowanie Planmeca Romexis® zapewnia elastyczne narzędzia do wizualizacji dróg oddechowych, zatok i dróg oddechowych, tkanek miękkich i nawet najmniejszych struktr kostnych uszu.

Standardem jest wykonanie obrazu przy najniższej możliwej dawce
Innowacyjny protokół obrazowania Planmeca Ultra Low Dose™ umożliwia uzyskanie obrazów CBCT przy niższej dawce promieniowania niż w przypadku zdjęć panoramicznych. Ten naukowo udowodniony protokół jest standardem we wszystkich naszych urządzeniach 3D.

Najwyższa funkcjonalność
Planmeca Promax 3D Plus to urządzenie do obrazowania, które łączy w sobie łatwość obsługi i komfort pacjenta, zapewniając wygodne środowisko pracy, a także skuteczne leczenie od początku do końca.

Najwyższej jakości obrazowanie endodontyczne
Dzięki rozmiarowi woksela 75 µm tryb obrazowania endodontycznego jest idealny do rejestrowania drobnych szczegółów anatomicznych. Niezwykle wysoka rozdzielczość pozwala na wyraźne dostrzeżenie nawet najtrudniejszych do obróbki miejsc.

Obrazy złożone
Planmeca ProMax 3D Plus to prawdziwie uniwersalne narzędzie do wszystkich rodzajów obrazowania: oprócz zdjęć 3D możliwe są zdjęcia panoramiczne i cykliczne, zawsze z optymalną jakością obrazu.

Proste i szybkie skanowanie modeli
Wszystkie urządzenia do obrazowania Planmeca ProMax® 3D umożliwiają skanowanie 3D renderów i modeli gipsowych. Można to zrobić bez skanera mózgu; analiza CBCT generuje pliki STL modeli powierzchniowych, które mogą być wykorzystane do planowania leczenia.

Kompleksowe oprogramowanie do obrazowania
Platforma oprogramowania Planmeca Romexis® oferuje najbogatszy obecnie w stomatologii zestaw narzędzi wizualizacyjnych, wspierając wizualizację 2D i 3D oraz cały proces CAD/CAM.

Technologia SCARA
SCARA to skrót od Selectively Compliant Articulated Robot Arm, opatentowanej technologii ramienia robotycznego, która umożliwia precyzyjne działanie jednostki obrazującej bez ograniczeń.

Specyfikacja techniczna
Dane techniczne
Napięcie anody 60-90 kV, 60–120 kV
Prąd anody 1-14 mA
Ogniskowa 0,5 mm, anoda nieruchoma
Detektor obrazu Panel płaski
Pozyskiwanie obrazu obrót o 200 / 360 stopni
Czas skanowania 9-33 s
Zwykły czasy ekspozycji 2-30 s
Maksymalne wielkości obrazów
Obraz maksymalny bez łączenia Ø20 x 10 cm
Programy stomatologiczne
Wielkość obrazu (tryb dziecko) [cm]
Ząb
Ø4 x 5 (Ø3.4 x 4.2)
Ø4 x 8 (Ø3.4 x 6.8)
Zęby
Ø8 x 5 (Ø6.8 x 4.2)
Ø8 x 8 (Ø6.8 x 6.8)
Ø10 x 6 (Ø8.5 x 5)
Ø10 x 10 (Ø8.5 x 8.5)
Szczęka
Ø16 x 6 (Ø16 x 6)
Ø16 x 10 (Ø16 x 10)
Ø20 x 6 (Ø20 x 6)
Ø20 x 10 (Ø20 x 10)
Programy ENT (Ear, Nose,Throat – Ucho, Nos, Gardło)
Wielkość obrazu (tryb dziecko) [cm]
Nos
Ø8 x 8 (Ø6.8 x 6.8)
Zatoki
Ø10 x 10 (Ø10 x 10)
Ø16 x 10 (Ø16 x 10)
Ø20 x 10 (Ø20 x 10)
Ucho środkowe
Ø4 x 5 (Ø3.4 x 4.2)
Ø8 x 8 (Ø6.8 x 6.8)
Kość skroniowa
Ø8 x 8 (Ø6.8 x 6.8)
Kręgi
Ø8 x 8 (Ø6.8 x 6.8)
Drogi oddechowe
Ø8 x 8 (Ø6.8 x 6.8)
Wymagania dotyczące przestrzeni
Szerokość 135 cm (53,2 cala)
Głębokość 145 cm (57 cali)
Wysokość* 173-239 cm (68,1-94,1 cale)
Masa 131 kg (289 funtów)
Z cefalostatem:
Szerokość 222 cm (87,4 cala)
Głębokość 145 cm (57 cali)
Wysokość* 173-239 cm (68,1-94,1 cale)
Przykładowa instalacja
W dostarczanym zestawie
Unit Planmeca 3D z serwerem rekonstrukcyjnym 3D

Minimalne ustawienie
Stacja robocza klienta i serwer bazy danych
- Przeglądarka Planmeca Romexis 3D Explorer
- Serwer bazy danych
- Baza danych Planmeca Romexis Image Database
Stacja robocza klienta i serwer bazy danych mogą być na osobnych komputerach.

Dodatkowe wyposażenie
Dodatkowa stacja robocza do diagnostyki z różnymi konfiguracjami oprogramowania
Narzędzia Planmeca Romexis:
- Przeglądarka 3D
- Moduł 3D Cross Sections
- Moduł 3D TMJ
- Moduł 3D Implant Planning
- Moduł DICOM
Stacja robocza klienta i serwer bazy danych mogą być na osobnych komputerach.

Obrazy kliniczne
Planmeca ProMax® 3D Plus

9x9

Implantologia

Ucho środkowe

Przypadek ortodontyczny

Usuwanie zęba mądrości
Odwiedź nas
Medmarket International jest oficjalnym dystrybutorem sprzętu medycznego grupy Planmeca, światowego lidera w zakresie technologii medycznych. Oferujemy unity stomatologiczne wykorzystujące technologię cyfrową, rozwiązania CAD/CAM, światowej klasy urządzenia do obrazowania 2D i 3D oraz kompleksowe rozwiązania z zakresu oprogramowania.
