Cefalostat Planmeca ProMax®
Elastyczność skanowania jak żaden inny cefalostat

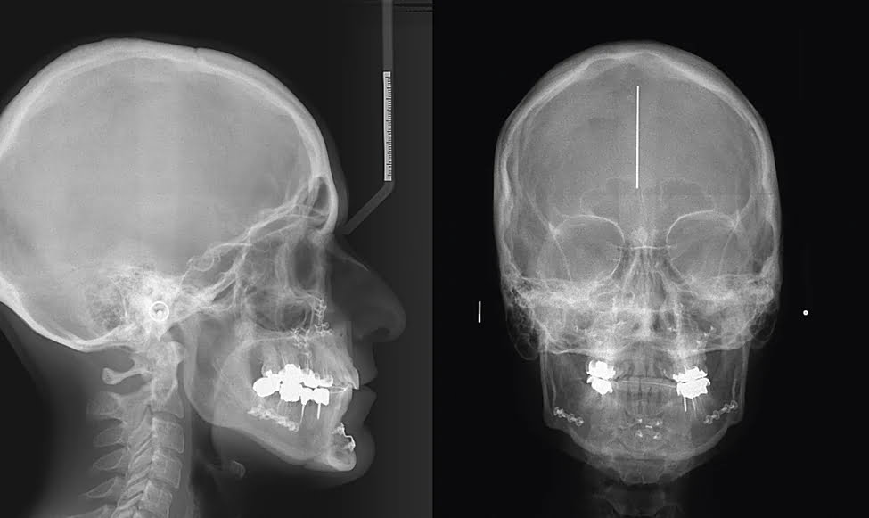
Obrazowanie niskodawkowe
Poziome cefalostatyczne obrazowanie cyfrowe głowy pacjenta przy użyciu wąskiej wiązki promieniowania rentgenowskiego zapewnia utrzymania najniższego poziomu dawki promieniowania.

Rozszerzone opcje wielkości obszaru
Cefalostat Planmeca ProMax jest wyjątkowo elastyczny w kwestii uzyskania obrazu z powiększeniem aż do 30 x 27 cm.




Moduł Cephalometric Analysis
Moduł Planmeca Romexis® posiada odpowiednie narzędzia do zaplanowania leczenia ortodontycznego oraz tworzenia analiz i nałożeń cefalometrycznych.

Odwiedź nas
Medmarket International jest oficjalnym dystrybutorem sprzętu medycznego grupy Planmeca, światowego lidera w zakresie technologii medycznych. Oferujemy unity stomatologiczne wykorzystujące technologię cyfrową, rozwiązania CAD/CAM, światowej klasy urządzenia do obrazowania 2D i 3D oraz kompleksowe rozwiązania z zakresu oprogramowania.
