Planmeca Ultra Low Dose™
Sprawdzone obrazowanie 3D z najniższą dawką
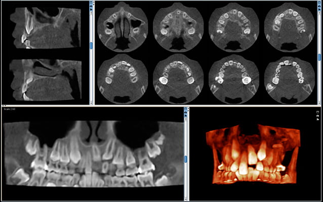
Idealne rozwiązanie dla szerokiego zakresu sytuacji klinicznych
Protokół Planmeca Ultra Low Dose okazał się idealny do szerokiego zakresu zastosowań klinicznych, od ortodoncji do planowania implantów, chirurgii szczękowej oraz badań dróg oddechowych i zatok.

Łatwa i efektywna obsługa
Korzystanie z protokołu obrazowania Planmeca Ultra Low Dose jest tak proste jak naciśnięcie przycisku. Cechuje go również wysoki stopień przejrzystości parametrów, ponieważ dawki dla pacjentów mogą być wyświetlane natychmiast.

Wszystkie rozmiary wokseli, wszystkie tryby obrazowania
Planmeca Ultra Low Dose może być stosowany ze wszystkimi rozmiarami wokseli i wszystkimi trybami obrazowania, od najmniejszego rozmiaru woksela do największego pola widzenia (FOV). Ten protokół obrazowania jest idealny, gdy wymagane są szczegółowe informacje anatomiczne przy bardzo niskich dawkach promieniowania.

Optymalna równowaga między jakością i dawką
W pełni innowacyjny i naukowo zatwierdzony protokół obrazowania oparty na inteligentnych algorytmach 3D znacznie zmniejsza dawkę dla pacjenta bez pogorszenia jakości obrazu, zapewniając klinicystom na całym świecie możliwość skutecznego stosowania ALADY (minimalnej akceptowalnej diagnozy). Dążymy do tego, aby mieli taką możliwość. Stosowanie i skuteczność Donk Eye zostało naukowo zbadane i udowodnione w różnych badaniach.








Dowiedz się, czego naprawdę potrzebujesz
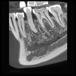
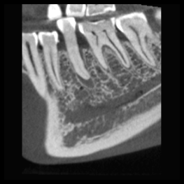
Wysoka rozdzielczość i duża dawka nie zawsze są niezbędnymi standardami i często mniej znaczy więcej. Na przykład obrazowanie ultraniskodawkowe Planmeca jest niezbędne do uwidocznienia kanału nerwu żuchwowego przy planowaniu implantów i ekstrakcji zębów mądrości. Wszystko to można osiągnąć przy wyjątkowo niskich dawkach.

Rozdzielczość HD
wielkość woksela 150 μm, dawka pacjenta ~134 μSv
Bardzo drobne szczegóły, duża dawka.

Rozdzielczość HD przy ultraniskiej dawce
wielkość woksela 150 μm, dawka pacjenta ~32 μSv
Duża szczegółowość, średnia dawka

Normalna rozdzielczość
wielkość woksela 200 μm, dawka pacjenta ~86 μSv
Duża szczegółowość, średnia dawka

Normalna rozdzielczość przy ultraniskiej dawce
wielkość woksela 200 μm, dawka pacjenta ~20 μSv
Duża szczegółowość, niska dawka

Rozdzielczość dla niskiej dawki
wielkość woksela 400 μm, dawka pacjenta ~30 μSv
Mniejsza szczegółowość, niska dawka

Rozdzielczość dla niskiej dawki przy dawce ultraniskiej
wielkość woksela 400 μm, dawka pacjenta ~6 μSv
Mała szczegółowość, bardzo niska dawka
Odwiedź nas
Medmarket International jest oficjalnym dystrybutorem sprzętu medycznego grupy Planmeca, światowego lidera w zakresie technologii medycznych. Oferujemy unity stomatologiczne wykorzystujące technologię cyfrową, rozwiązania CAD/CAM, światowej klasy urządzenia do obrazowania 2D i 3D oraz kompleksowe rozwiązania z zakresu oprogramowania.
