Planmeca ProMax® 3D Classic
Wyraźne obrazy górnej i dolnej szczęki


Wielkości obrazu
Obraz maksymalny bez łączenia
Ø8 x 8 cm
Obraz rozszerzony bez łączenia
Ø11 x 8 cm
Obraz maksymalny z łączeniem poziomym
15 x 10 x 8 cm
Jakość obrazów klinicznych






Jeszcze większa powierzchnia
Planmeca ProMax 3D Classic oferuje wyjątkowe możliwości leczenia obszarów o większej średnicy. Maksymalna średnica została zwiększona z Ø80 x 80 mm do Ø110 x 80 mm, co czyni go idealnym do uchwycenia całego zęba w jednym skanie.

Korekcja nieostrych artefaktów
Ruch pacjenta jest poważnym problemem dla jakości obrazu, ale algorytm korekcji ruchu CALM® firmy Planmeca skutecznie eliminuje artefakty na obrazach CBCT spowodowane ruchem pacjenta, zapewniając zawsze dokładne obrazy.

Zobacz najdrobniejsze szczegóły
Tryb endodontyczny oferuje niezwykle wysoką rozdzielczość przy rozmiarze voxela 75 µm. Tryb ten jest idealny do wyodrębniania najdrobniejszych szczegółów, umożliwiając dokładną diagnozę i planowanie leczenia.

CBCT tomografia ultraniskodawkowa
Planmeca Ultra-Low Dose™ to unikalna metoda obrazowania CBCT przy dawce równej lub niższej niż w przypadku radiografii panoramicznej, co zostało już udowodnione w różnych badaniach naukowych. Ten protokół obrazowania może być stosowany we wszystkich trybach obrazowania, niezależnie od wielkości woksela.

Różnorodność opcji obrazowania
Jak wszystkie aparaty 3D, Planmeca ProMax 3D Classic oferuje szeroki zakres obrazowania i niestandardowych protokołów dostosowanych do Twoich potrzeb.

Uniwersalna technologia SCARA
Wyjątkowość naszych urządzeń do obrazowania polega na unikalnej i opatentowanej technologii SCARA, czyli ramieniu robotycznym, które może wykonywać dowolny ruch teraz i w przyszłości bez ograniczeń.

Wyjątkowa funkcjonalność
Planmeca Promax 3D Classic wyróżnia się łatwością obsługi. Przyjazny dla użytkownika panel sterowania, otwarte pozycjonowanie pacjenta i łatwy podgląd obrazu sprawiają, że praca z maszyną jest przyjemnością w każdej chwili!

Skanuj modele 3D szybko i wydajnie
Wszystkie urządzenia Planmeca Promax® 3D Imaging pozwalają na szybką i efektywną digitalizację modeli. Skanując odlewy i formy za pomocą CBCT, użytkownicy mogą tworzyć modele powierzchniowe bez konieczności stosowania skanera wewnątrzustnego. Model powierzchni jest dostarczany jako plik STL i może być wykorzystany do planowania leczenia.

Wszechstronne oprogramowanie do obrazowania
Oprogramowanie do obrazowania Planmeca Romexis® wspiera zarówno obrazowanie 2D i 3D, jak i pracę CAD/CAM. Oprogramowanie dostarcza zaawansowanych narzędzi dla klinik stomatologicznych, niezależnie od wielkości ich placówki.

Idealny do wizualizacji aparatów ortodontycznych
Protokół obrazowania stomatologicznego Planmeca Promax 3D Classic jest idealny do prac ortodontycznych: metalowe części aparatów pokazują się na zdjęciach z naprawdę imponującą dokładnością. Urządzenie jest również certyfikowane do stosowania z protokołem leczenia SureSmile.

Specyfikacja techniczna
Dane techniczne
Napięcie anody 60-90 kV
Prąd anody 1-14 mA
Ogniskowa 0,5 mm, anoda nieruchoma
Detektor obrazu Panel płaski
Pozyskiwanie obrazu Pojedynczy obrót o 200 stopni
Czas skanowania 9-37 s
Zwykły czasy ekspozycji 2-25 s
Maksymalne wielkości obrazów
Obraz maksymalny bez łączenia Ø8 x 8 cm
Obraz rozszerzony bez łączenia Ø11 x 8 cm
Obraz maksymalny z łączeniem poziomym 15 x 10 x 8 cm
Programy stomatologiczne
Wielkość obrazu (tryb dziecko) [cm]
Ząb
Ø5 x 5 (Ø4.2 x 4.2)
Ø5 x 8 (Ø4.2 x 6.8)
Zęby
Ø8 x 5 (Ø6.8 x 4.2), Ø8 x 8 (Ø6.8 x 6.8)
obraz rozszerzony: Ø11 x 5, Ø11 x 8
podwójny skan: 2x Ø8 x 8 (Ø6.8 x 6.8)
potrójny skan: 3 x Ø8 x 8 (Ø6.8 x 6.8)
Wymagania dotyczące przestrzeni
Szerokość 125 cm (49,3 cala)
Głębokość 127 cm (50 cali)
Wysokość* 156-234 cm (61,4-92,1 cale)
Masa 113 kg (248 funtów)
Z cefalostatem:
Szerokość 212 cm (83,5 cala)
Głębokość 127 cm (50 cali)
Wysokość* 156-234 cm (61,4-92,1 cale)
Masa 128 kg (282 funtów)
*W przypadku pomieszczeń z niskim sufitem maksymalna wysokość aparatu może zostać wyregulowana.
Przykładowa instalacja
W dostarczanym zestawie
Unit Planmeca 3D z serwerem rekonstrukcyjnym 3D

Minimalne ustawienie
Stacja robocza klienta i serwer bazy danych
- Przeglądarka Planmeca Romexis 3D Explorer
- Serwer bazy danych
- Baza danych Planmeca Romexis Image Database
Stacja robocza klienta i serwer bazy danych mogą być na osobnych komputerach.

Dodatkowe wyposażenie
Dodatkowa stacja robocza do diagnostyki z różnymi konfiguracjami oprogramowania
Narzędzia Planmeca Romexis:
- Przeglądarka 3D
- Moduł 3D Cross Sections
- Moduł 3D TMJ
- Moduł 3D Implant Planning
- Moduł DICOM
Stacja robocza klienta i serwer bazy danych mogą być na osobnych komputerach.

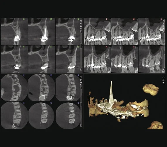
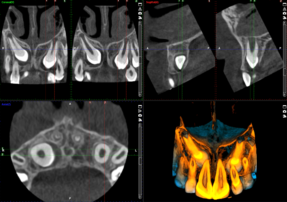
Obrazy kliniczne
Planmeca ProMax 3D Classic

Naruszony kieł

8x8

Implantologia

Ząb mądrości

Implant 3D z koroną

3 x 3D = CBCT + ProFace + skan wycisku
Odwiedź nas
Medmarket International jest oficjalnym dystrybutorem sprzętu medycznego grupy Planmeca, światowego lidera w zakresie technologii medycznych. Oferujemy unity stomatologiczne wykorzystujące technologię cyfrową, rozwiązania CAD/CAM, światowej klasy urządzenia do obrazowania 2D i 3D oraz kompleksowe rozwiązania z zakresu oprogramowania.
